Wntシグナルと癌
膵癌におけるArl4cを介した新規転移機構の解明と、治療薬としてのArl4cアンチセンス核酸の動態とその効果
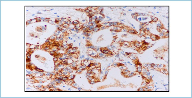
私たちはこれまで正常上皮細胞の管腔形態形成に低分子量Gタンパク質であるADP-ribosylation factor (ARF)-like 4c (Arl4c)が関与しており、それが大腸癌、肺腺癌、肝癌における癌細胞の増殖能や運動能の促進に重要であることを報告してきました。Arl4cはWnt/β-cateninシグナルとRas/MAPKシグナルの協調的な活性化により発現が誘導されますが、上述の癌種においては両シグナルが異常活性化しており、Arl4cの発現が亢進していることを示してきました。さらに膵癌においても両シグナルは亢進しており、特に膵癌ではKRasの活性型変異が9割以上の症例で認められます。そこでヒト膵癌患者検体を用いた病理組織学的解析を行ったところ、8割以上の症例でArl4cが過剰発現しており、Arl4cの発現は浸潤・転移と相関することが分かりました。
膵癌は間質組織が豊富に存在する腫瘍であり、浸潤・転移のためには細胞外基質を分解する必要があります。これまで膵癌の浸潤には、invadopodia(浸潤突起)と呼ばれる細い多数の突起が重要であることが知られていましたが、Arl4cはその形成や機能には関与しませんでした。一方でArl4c高発現細胞では、浸潤方向に向かって、3次元基質中に仮足が伸びて細胞外基質を分解しており、Arl4cはその仮足の先端に局在していました。こうした構造をinvasive pseudopod(浸潤仮足)と定義し、Arl4cによる新規の浸潤機構であると考えられました。さらにArl4cはinvasive pseudopodの先端部分のPIP3(ホスファチジルイノシトール三リン酸)領域に特異的に局在し、そこへ細胞外基質を分解するために必要なIQGAP1やMMP14をリクルートし、浸潤能を亢進させていました(図1)。
図1.膵癌においてArl4cは高発現し、浸潤機構を制御する
A. Arl4cによる浸潤能促進の分子機構
B. Arl4cを介した新たな浸潤様式
さらに膵癌モデルマウスにおいて、Arl4cの発現を抑制する修飾型アンチセンス核酸(ASO)を投与したところ、腸間膜リンパ節への転移が抑制されました。このとき、ASOは腫瘍部に特異的に集積していることが分かりました(図2)。
図2.マウス膵癌モデルにおいて、Arl4cに対するアンチセンス核酸は膵癌の転移を抑制する
本研究により、Arl4cを軸とした膵癌の新たな浸潤機構が解明され、またArl4cが適切な治療標的である可能性が示唆されました。Arl4cは膵癌の最重要課題とされるKRasの下流のエフェクターとして機能し、かつ膵癌の最大の死亡原因である転移の新たな分子基盤を形成することから、膵癌の病態解明、治療法開発の進展が期待されます。
膵がんと食道がんにおけるDKK1-CKAP4-FOXM1シグナル軸を介した腫瘍増殖促進メカニズムの解析
私共はWntアンタゴニストである分泌性糖タンパク質Dickkopf1(DKK1)の新規細胞膜受容体としてCKAP4を見出し、DKK1-CKAP4シグナルがPhosphoinositide 3-kinase (PI3K)-AKT経路の活性化を介してがん細胞の増殖を促進するDKK1-CKAP4シグナルを報告しました。私共はDKK1-CKAP4シグナルが活性化することでがん細胞増殖が促進され、様々ながんの予後不良と関わることを報告しましたが、DKK1-CKAP4シグナル下流でどのような遺伝子が発現制御されているかに関しては明らかとなっていませんでした。またDKK1は従来、Wnt/β-カテニン経路下流で発現制御されることが知られていましたが、Wntシグナルが活性化していないがんにおけるDKK1の発現制御機構に関しては不明でした。
私共は、ヒト膵がん由来細胞株S2-CP8において内在性DKK1をノックアウトした細胞を作製し、DKK1依存性に発現が変動する遺伝子をRNAシーケンスで解析することで、DKK1-CKAP4シグナル下流で発現制御される遺伝子の網羅的探索を行いました。その結果、転写因子FOXM1に着目しました。FOXM1は代表的な細胞周期制御因子として知られており、また様々な腫瘍において発現亢進することが知られています。私共は実際に複数のヒト膵がんおよび食道がん由来細胞株において、DKK1および細胞膜CKAP4高発現細胞株がFOXM1を高発現しており、これらの細胞においてDKK1あるいはCKAP4をノックダウンすることでFOXM1の発現が低下することを明らかにしました。また、DKK1-CKAP4シグナル下流におけるAKTの活性化を介してFOXM1が発現することを、AKT阻害剤を用いた実験で明らかにしました。これらの解析を進める中で、FOXM1の発現が低下するとDKK1自体の発現も低下することが明らかとなり、転写因子FOXM1がDKK1の発現を制御している可能性が示唆されました。
実際に、ヒト膵がんおよび食道がん由来細胞株においてFOXM1をノックダウンするとDKK1の発現が低下し、一方で内在性FOXM1およびDKK1の発現が低い膵がん由来細胞株Capan-1にFOXM1を過剰発現させることでDKK1の発現が亢進することが確認されました。ゲノム上においてDKK1遺伝子の5’側上流領域を検索したところ、DKK1遺伝子の転写開始点からおよそ2000塩基対上流にFOXM1のコンセンサス配列を見出しました(FOXM1 binding site (FOXM1 BS))。細胞株を用いてクロマチン免疫沈降法を行い、実際にFOXM1 BSにFOXM1が結合することを確認しました。Crispr-Cas9システムを用いてヒト膵がん由来細胞株S2-CP8のゲノム上からDKK1遺伝子座上流のFOXM1結合領域を欠損させた細胞株(S2-CP8/FOXM1 binding site deletion (ΔFOXM1 BS))を作製したところ、S2-CP8/ΔFOXM1 BS細胞ではDKK1の発現が低下し、AKT活性化およびin
vitroでの細胞増殖活性、ゼノグラフトモデルにおける皮下腫瘍形成能の低下を認めました。以上の結果から、ヒト膵がんおよび食道がんにおいてDKK1-CKAP4シグナルとFOXM1が相互に発現を促進するポジティブフィードバック機構を介して細胞増殖能を活性化する分子機構が明らかとなりました(図@)。

図1.DKK1-CKAP4-FOXM1のポジティブフィードバック制御機構
DKK1-CKAP4経路において、細胞外に分泌されたDKK1と細胞膜受容体CKAP4が結合することでPI3K-AKT経路の活性化および細胞増殖の促進が起こる。活性化したPI3K-AKT経路下流でFOXM1の発現レベルが上昇し、FOXM1はDKK1遺伝子のエンハンサー領域に直接結合してDKK1の発現を促進することでポジティブフィードバックループを形成する。FOXM1はβ-カテニンとも複合体を形成し、β -カテニンの核内への移行を促進することでWntシグナル依存性のDKK1発現および細胞増殖活性を促進する。発現したDKK1が再び細胞外へ分泌されCKAP4と結合することでポジティブフィードバックループが形成される(DKK1-CKAP4-FOXM1シグナル軸)。一方、Wnt/ β-カテニン経路において、DKK1はWnt/ β-カテニン経路下流で発現し、細胞外へ分泌された後、Wnt受容体LRP5/6と結合し細胞膜から除去することでWntシグナルのアンタゴニストとして働く。がんにおいてしばしば観察されるβ-カテニン変異のようなWnt受容体下流レベルでのWnt/ β-カテニン経路活性化では、DKK1によるWnt/ β-カテニン経路の抑制は起こらないため、DKK1はDKK1-CKAP4-FOXM1シグナル軸を介して腫瘍促進的に機能する。
続いて私共は、実際にヒト膵がんおよび食道がんの臨床症例においてDKK1とFOXM1の発現に相関があるかどうかを、手術標本を用いた免疫染色で解析しました。大阪大学医学部付属病院にて外科切除された膵がん38例および食道扁平上皮がん82例の組織切片に対してDKK1およびFOXM1の免疫組織化学染色を行ったところ、膵がんにおいて27/38例 (71.1%)、食道扁平上皮がんにおいて40/82例 (48.8%)で腫瘍組織特異的にDKK1とFOXM1が共に発現しており、両者の共発現には統計的に有意な相関を認めました。上記症例の臨床データを用いてDKK1とFOXM1を共に発現する症例の予後を解析したところ、食道扁平上皮がんにおいてDKK1とFOXM1をともに発現した症例ではそれ以外の症例と比較して有意に全生存率および無再発生存率が不良でした(図A)。膵がんにおいてもDKK1とFOXM1をともに発現した症例ではそれ以外の症例と比較して予後が不良である傾向を認めた他、The Cancer Genome Atlas
(TCGA)データベースの膵がん174例のデータを利用した予後解析においても、DKK1およびFOXM1のmRNAレベルでの発現量が共に高い症例では、それ以外の症例と比較して有意に全生存率が不良でした(図A)。
図2.ヒト膵がんおよび食道扁平上皮がんにおけるDKK1とFOXM1の共発現と予後との相関
A. ヒト膵がん切除標本の組織免疫化学染色においてDKK1とFOXM1の発現には正の相関を認める。
B. ヒト食道扁平上皮癌がん切除標本の組織免疫化学染色においてDKK1とFOXM1の発現には正の相関を認める。
C. ヒト膵がんおよび食道扁平上皮がんの臨床例においてDKK1とFOXM1の共発現は予後不良因子である。
以上の結果から、ヒト膵がんおよび食道扁平上皮がんにおいてDKK1-CKAP4シグナル下流においてAKTの活性化を介して転写因子FOXM1が発現し、またFOXM1が逆にDKK1のエンハンサー領域に結合して発現を促進するポジティブフィードバック機構を介して腫瘍の増殖が促進し臨床的予後不良と関わることが明らかとなりました。
肺腺癌におけるArl4c発現の臨床的意義とArl4cを標的としたアンチセンス核酸を用いた新規治療法の開発
私たちはこれまでに肺腺癌において遺伝子変異に伴うWnt/β-cateninシグナルとRas/MAP kinaseシグナルの活性化により低分子量Gタンパク質低分子量G蛋白質ADP-ribosylation factor (ARF)-like 4c (Arl4c)が過剰発現し、ヒト肺腺癌細胞株においてArl4cの発現が癌細胞の運動能と浸潤能、増殖能に重要であることを報告してきました。さらに、免疫不全マウスの生体内でヒト肝細胞癌や大腸癌細胞株の腫瘍増殖を有効に抑制するArl4cに対するアンチセンス核酸(Arl4c anti-sense oligonucleotide; Arl4c ASO)を開発しました。これらにつづき、Arl4cのさらなる可能性を探るべく、肺腺癌患者でArl4cが高発現する臨床的意義を解明するとともに、他の癌腫でも効果を認めたArl4c ASOが肺腺癌の新規がん治療薬として応用できるかを検討しました。
実臨床おいて肺腺癌でArl4cが発現する意義を明らかにするため、2011年〜2018年の間に、大阪大学呼吸器外科で施行した161例の肺切除標本を用いてArl4c抗体で免疫染色を行い、Arl4cの発現と臨床病理学的背景および予後との関連を調べました。肺腺癌の中には、前癌病変の異型腺腫様過形成(AAH)から上皮内癌(AIS)、微小浸潤性癌(MIA)、浸潤性腺癌(IA)へと段階的に進行するものもあるとされています。これらの組織型でのArl4c高発現率はAAHで高く(66.7%)、さらに各組織型におけるArl4c高発現率は、AIS(23.3%), MIA(36.3%), IA(50.6%)と進行するに従って段階的に増加し、Arl4c高発現群は肺癌の悪性度を示す指標であるPET-CTでのFDG集積が高い傾向にありました(p=0.01)。さらにArl4c高発現群は低発現群と比べて無再発生存期間が短いという結果でした(p=0.0128)。
図1.ヒト肺腺癌におけるArl4cの発現と予後との相関
A. AAH:27例、AIS:30例、MIA:22例、IA:83例におけるArl4c高発現比率を示す。AAH症例で高発現率が高く、AIS, MIA, IAと段階的に高発現率は増加した。
B. 肺腺癌症例(AAHを除く)135例において、Arl4c高発現群で有意に無再発生存率が不良であった。
さらに、Arl4cが前癌病変のAAHで高発現していたことに注目し、前癌病変におけるArl4cの機能を明らかにするため、不死化した正常ヒト気道上皮細胞(SAEC)のArl4c-wild type(-WT)過剰発現株を樹立し、その表現型を検証しました。Matrigel®を用いた3D増殖assayでArl4c-WT過剰発現株はcontrol株と比較し増殖能の亢進を認めました。一方で、不活性型であるArl4cG2A発現株はcontrol株と比較しても同様の現象は認めませんでした。
図2.正常ヒト気道上皮細胞においてArl4cを過剰発現させると増殖能が亢進した。
次に、肺癌新規治療薬としてのASO Arl4cを検証を同所移植肺癌モデルの実験系を用いて行いました。ASO Arl4cの経気道的投与により肺癌細胞の増殖は有意に抑制され、腫瘍細胞におけるArl4cの発現が抑制されました。またこの実験ではArl4cが高発現しKras変異株を有するA549およびEGFR変異株を有するH1975の異なるドライバー遺伝子を有する2種類の細胞株において同様の結果が得られました。
図3.A549同所移植肺癌モデルへのASO Arl4c経気道投与による腫瘍形成の抑制
A. A549のluciferase安定発現株(A549-luc)を免疫不全マウスの左肺へ打ち込み(day0)、day7にIVIS Imaging System(IVIS)で腫瘍の定着を確認した。
B. Control ASO投与群(control群:n=7)とARL4C ASO投与群(ASO群:n=9)の2群に分け、ASO(100 μg/body)を経気道的に計3回(day7, 11, 15)投与し、治療効果をIVISで評価した。Day21ではControl群に比して、ASO群において有意に低い結果(p<0.01)であった。
C. Day21で摘出したASO群の肺内腫瘍細胞における免疫染色ではArl4cの発現やKi-67陽性率はcontrol群と比較すると抑制されていた。
以上の結果から、Arl4cの発現は肺腺癌発癌過程において重要な役割をしている可能性があり、Arl4c高発現は肺腺癌の予後不良因子となりえます。さらに、Arl4cを標的としたASOは、肺癌の新規治療薬として期待できます。
小児肝芽腫におけるWntシグナル関連分子標的GREB1の同定と抗癌剤の開発
肝芽腫は小児の肝臓に発症する悪性腫瘍で、日本国内では年間30〜40名、世界的には、100万人に1名程度の頻度で発生する稀な疾患で、発生原因も明らかにされていませんでした。腫瘍が大きくなるまでは無症状であることが多く、発見された時点では、腫瘍が大きすぎて手術ができなかったり、すでに肺などに転移している時は生存率が低下します。しかし、手術以外の化学療法では、重篤な副作用が問題となっています。そのため、肝芽腫に対する副作用が少なく、良好な治療効果の得られる新規の分子標的治療薬の開発が待望されていました。そこで、肝芽腫において約90%の高頻度で遺伝子変異が生じるβ-カテニンによって活性化することが知られているWntシグナルによって誘導される下流遺伝子を網羅的に探索してGREB1(Growth Regulation By Estrogen In Breast Cancer 1)を同定し、肝芽腫の約90%の患者においてGREB1が過剰に発現することを見出しました(図1)。
図1.小児肝芽腫におけるGREB1の発現
A. ヒト肝芽腫11症例中10症例(約90%)でGREB1が過剰発現していた。
B. 肝芽腫のデータベースを用いた解析でも、GREB1は有意に腫瘍特異的に高発現した。
GREB1を発現する肝芽腫細胞でGREB1の発現を抑えると、細胞の増殖が阻害され、細胞死が誘導されました。また、GREB1は、核内でTGFβシグナルの構成転写因子であるSmad2/3と結合し、Smad2/3と転写共役因子p300の相互作用を阻害する結果、TGFβシグナルを抑制することで肝芽腫の増殖を促進する分子メカニズムを解明しました(図2)。
図2.Wntシグナル依存的に発現したGREB1はSmad2/3と核内で結合してTGFβシグナルを抑制する結果、肝芽腫の増殖と腫瘍形成を促進する。
さらに、肝芽腫の治療開発を目的として、細胞内タンパク質であるGREB1の発現を抑制するための修飾型アンチセンス核酸(ASO)を大阪大学大学院薬学研究科 生物有機化学分野との共同研究で新たに開発しました。肝芽腫細胞を移植したマウスに開発したアンチセンス核酸を投与したところ、GREB1の発現と腫瘍形成を抑制する効果があることが分かりました(図3)。
図3.GREB1を標的とした修飾型アンチセンス核酸を開発し、肝芽腫細胞を肝臓に移植したマウスに皮下投与したところ、GREB1の発現と腫瘍形成が抑制された。
肝芽腫は小児に特異的な疾患で、発生頻度の低い稀な希少がんであることから、発症のメカニズムの解明や分子標的治療薬の開発が十分に進んでいませんでした。本研究成果により、遺伝子変異による高頻度なWntシグナルの異常活性化がGREB1の発現を介して、肝芽腫の形成を促進する分子メカニズムが初めて解明されました。また、本研究で開発したGREB1に対する修飾型アンチセンス核酸が肝芽腫の形成を阻害する効果を有していたことから、今回の発見は、肝芽腫の新たな分子標的治療薬の開発に貢献することが期待されます。
DKK1受容体CKAP4とLRP6のパルミチン酸化修飾を介したDKK1シグナルの制御機構
私共はWntアンタゴニストである分泌性糖タンパク質Dickkopf1(DKK1)の新規細胞膜受容体としてCKAP4を見出し、DKK1-CKAP4シグナルがPhosphoinositide 3-kinase (PI3K)-AKT経路の活性化を介してがん細胞の増殖を促進するDKK1-CKAP4シグナルを報告しました。CKAP4はCys100においてパルミチン酸化されることが報告されていましたが、DKK1-CKAP4シグナルにおけるCKAP4パルミチン酸化の意義は不明でした。一方、DKK1受容体としては、元来Low-density lipoprotein receptor-related protein 6(LRP6)が知られていました。私共はこれまでにLRP6が脂質ラフトに局在すること、及びLRP6とDKK1が結合することで、LRP6が脂質ラフトから非脂質ラフトへ局在変化した後、エンドサイトーシスされることを報告しました。しかし、LRP6の脂質ラフトへの局在制御機構はこれまで明らかとなっていませんでした。LRP6もまた、Cys1394およびCys1399 でパルミチン酸化されることが報告されていましたが、LRP6のパルミチン酸化の機能的意義は明らかとなっていませんでした。
私共は、ヒト膵がん由来細胞株S2-CP8の細胞表面タンパクをビオチンラベリングした後、ショ糖密度勾配超遠心法を用いて分画することで、CKAP4がLRP6と同様に細胞膜上において脂質ラフトに相当するdetergent-resistant membrane(DRM)に局在すること、及びパルミチン酸化されないCKAP4の変異体(CKAP4C100S)はDRMに局在しないことを明らかにしました(図1A)。内在性DKK1をノックアウトしたS2-CP8細胞(S2-CP8/DKK1 KO)を精製DKK1タンパクで刺激し、細胞膜上のCKAP4及びLRP6のパルミチン酸化レベルをパルミチン酸誘導体17-ODYAを用いたケミカルラベリングの手法(Click chemistry assay)で解析したところ、CKAP4とLRP6はいずれも細胞膜上においてDKK1刺激に引き続いて脱パルミチン酸化されていることが明らかとなりました(図1B)。更に、DKK1刺激後にショ糖密度勾配超遠心法で分画を行うと、S2-CP8/DKK1
KO細胞の細胞膜上においてCKAP4とLRP6はいずれもDRMからnon-DRMへ局在変化していることが明らかとなりました(図1C)。他の実験結果と合わせて、DKK1受容体であるCKAP4とLRP6はいずれもパルミチン酸化依存性に脂質ラフトへ局在していること、およびDKK1と結合することで受容体が脱パルミチン酸化されることにより、脂質ラフトから排除される分子機構が示されました。

図1.DKK1結合に伴うCKAP4とLRP6の脱パルミチン酸化を介した局在制御機構
A. 内在性CKAP4をノックアウトしたS2-CP8細胞(S2-CP8/CKAP4 KO)に野生型CKAP4(WT)あるいはパルミチン酸化されないCKAP4変異体(C100S)を発現させ、細胞膜上のタンパクをビオチンでラベリングした後、ショ糖密度勾配超遠心法で分画した。Flotillin-2、Clathrinはそれぞれ脂質ラフト、非脂質ラフトのマーカータンパクである。細胞膜上において野生型CKAP4は脂質ラフト側に、C100S変異体は非脂質ラフト側に限局して局在した。
B. 内在性DKK1をノックアウトしたS2-CP8細胞(S2-CP8/DKK1 KO)において細胞内パルミチン酸を17-ODYAで置換し標識したのち、エンドサイトーシス阻害剤処理下で精製DKK1タンパク刺激を行った。DKK1刺激開始から1時間後に細胞膜に局在するCKAP4およびLRP6を回収し、click chemistry assayの手法を用いて17-ODYA標識された(パルミチン酸化に相当)CKAP4およびLRP6を沈降した。両タンパクとも、DKK1刺激によって定状状態と比較しパルミチン酸化レベルが低下していた。
C. エンドサイトーシス阻害剤処理下でS2-CP8/DKK1
KO細胞を精製DKK1タンパクで刺激し、刺激開始後1時間後に細胞膜上のタンパクをショ糖密度勾配超遠心法で分画した。CKAP4およびLRP6は細胞膜上において脂質ラフトから非脂質ラフト側に局在が変化していた。
私共はこれまで、脂質ラフトに局在するLRP6がWntリガンドと結合し、カベオリン依存性にエンドサイトーシスされることがWntシグナルの活性化に必要であることを報告しました。CKAP4が細胞膜上において脂質ラフトへ局在する意義を解析する目的で、ショ糖密度勾配超遠心法による分画に引き続いて、免疫沈降によってCKAP4と下流シグナル分子であるPI3K p85αサブユニットとの結合を評価したところ、両者の結合は脂質ラフトにおいてのみ検出されました(図2A)。更に、脂質ラフトへ局在できないCKAP4C100S変異体ではp85αサブユニットとの結合を認めませんでした(図2B)。
図2.細胞膜上におけるCKAP4の脂質ラフトへの局在の意義
A. S2-CP8細胞のライセートをショ糖密度勾配超遠心法で脂質ラフトおよび非脂質ラフトに分画したのち、それぞれ抗CKAP4抗体で免疫沈降を行った。CKAP4とp85αの結合は脂質ラフト画分でのみ検出された。
B. S2-CP8/CKAP4 KO細胞および、野生型CKAP4あるいはC100S変異体を発現させたレスキュー細胞(CKAP4WTおよびCKAP4C100S)のライセートを用いて、抗CKAP4抗体で免疫沈降を行った。S2-CP8/CKAP4 KO/CKAP4WT細胞でのみ、CKAP4とp85αの結合が検出された。
これらの結果からDKK1の受容体CKAP4は、パルミチン酸化依存性に脂質ラフトに局在することがシグナル活性に重要であること、及びDKK1結合に伴うCKAP4の脱パルミチン酸化による脂質ラフトからの排除を介したシグナル活性制御機構が存在することが明らかとなりました(図3)。また、LRP6もCKAP4と同様に脱パルミチン酸化により脂質ラフトから非脂質ラフトへ移動することが判明しました。
図3.モデル図
1) 脂質ラフトに局在するCKAP4にDKK1が結合することで、2)CKAP4がPI3Kと結合しAKTが活性化することでがん細胞増殖が促進される。3)AKT活性化を介して、脱パルミチン酸化酵素APT1が活性化され、CKAP4が脱パルミチン酸化される。4)脱パルミチン酸化されたCKAP4が脂質ラフトから排除されることで細胞増殖シグナル活性がshut-offされる。5)脱局在したCKAP4は非脂質ラフトにおいてクラスリン-Rab5依存性にエンドサイトーシスされた後、6)Rab11依存性にエンドソームから細胞膜へリサイクリングされる。
ヒト癌における新規DKK-CKAP4シグナル軸の発見とCKAP4を標的とする抗癌剤開発
分泌蛋白Dickkopf1(DKK1)は、胎生期にWntシグナルを抑制することにより、形態形成を適正化する重要な細胞増殖制御因子です。Wntシグナルの異常活性化が発癌を促進することから、DKK1は癌抑制機能を有すると考えられていました。一方、DKK1が肺癌や食道癌で高発現することや、抗DKK1抗体が肺癌細胞株の増殖を抑制することから、DKK1がWntシグナルの阻害とは関係なく、細胞の増殖を促進する可能性も示唆されてきました。しかし、そのメカニズムは明らかではなく、DKK1がどのような受容体と結合し、癌と関連するのかは全く不明でした。
この疑問に答えるため、私共は正常腎尿細管上皮細胞において、DKK1の新規受容体を検索し、Cytoskeleton-associated protein 4 (CKAP4)を同定しました。DKK1はCKAP4と結合することにより、ホスファチジールイノシトール3リン酸キナーゼ(PI3K)とAKTを活性化することにより、癌細胞の増殖を亢進しました。
ヒト膵癌症例においてDKK1は76.3%(59症例中45例陽性)、CKAP4は66.1%(59症例中39例陽性)の頻度で、ヒト肺腺癌症例においてDKK1は79.1%(67症例中53例陽性)、CKAP4は74.6%(67症例中50例陽性)の頻度で、ヒト肺扁平上皮癌症例においてDKK1は73.8%(61症例中45例陽性)、CKAP4は68.9%(61症例中42例陽性)の頻度で、ヒト食道扁平上皮癌症例においてDKK1は55.5%(119症例中66例陽性)、CKAP4は52.1%(119症例中62例陽性)の頻度で癌組織に高発現しました。また、両タンパク質が同一癌組織内(連続切片において)で共発現している症例が多数存在していました。一方、ヒト正常膵管上皮組織、正常肺胞上皮組織、正常食道扁平上皮には、DKK1およびCKAP4は免疫組織化学的手法により染色されず、DKK1とCKAP4は腫瘍細胞特異的に高発現することが明らかになりました。膵癌の術後5年生存率は、DKK1とCKAP4が両陽性の症例は、それ以外の症例に比して有意に低く(p=0.037)、肺腺癌と肺扁平上皮癌の術後無再発期間は、DKK1とCKAP4が両陽性の症例は、それ以外の症例に比して有意に短く
(p=0.040とp=0.043)なりました。また、食道扁平上皮癌の術後5年生存率はDKK1とCKAP4が両陽性の症例は、いずれも発現していない症例、DKK1とCKAP4のいずれかのみが発現している症例に比べて有意に低く(それぞれp=0.0002、p=0.035)、さらには、いずれも発現していない症例といずれかのみが発現している症例の生存率には有意差を認めませんでした(p=0.12)(図1)。以上の結果から、DKK1とCKAP4の両発現が予後不良と相関する可能性が考えられました。

図1.ヒト悪性腫瘍におけるDKK1およびCKAP4発現と予後との相関
A. 膵癌症例、肺腺癌症例、ならびに食道扁平上皮癌症例においてDKK1およびCKAP4は高頻度に腫瘍細胞特異的に高発現していた。
B. DKK1およびCKAP4の両タンパク質の発現している症例は有意に予後不良であり、両者の発現が予後判定の指標となる可能性が示唆された。
ヌードマウス皮下に膵癌細胞株S2-CP8細胞、肺癌細胞株A549細胞、食道癌細胞株TE-8細胞のDKK1もしくはCKAP4の発現抑制株を移植したところ、有意にその腫瘍形成能が抑制されました。さらに、ヒトCKAP4の細胞外領域を抗原として作製した抗CKAP4ポリクローナル抗体(CKAP4 pAb)が、DKK1とCKAP4の結合阻害を示すとともに、S2-CP8細胞(図2)、A549細胞、TE-8細胞のヌードマウスにおける腫瘍形成能を抑制しました。
図2.S2-CP8細胞のマウス皮下腫瘍形成に対する抗CKAP4ポリクローナル抗体を用いた腫瘍形成抑制効果
ヌードマウス皮下へS2-CP8細胞を移植後、腫瘍サイズが約50mm3となってから、腹腔内に抗CKAP4抗体を週に2回、2週間投与し、経時的に腫瘍容積を計測した。抗CKAP4抗体投与群はコントロール群と比較して、腫瘍容積が有意に抑制された。
DKKはファミリーを構成し、DKK1-4まで存在します。私共は、DKK1だけでなくDKK2-4の全てがCKAP4と結合し、細胞増殖を亢進しました(図3)。
図3.DKKファミリーによる細胞増殖促進作用
(左)DKKファミリーはファミリーを構成しDKK1-DKK4まで存在する。(右)MDCK細胞に対してDKK1を含む培養上清を処理すると増殖マーカーKi-67陽性細胞率が増加する。緑:Ki-67陽性細胞、青:DNA
DKK1以外のDKKファミリータンパク質の中で、DKK3は特に食道癌に発現していました(図4A)。ヒト食道扁平上皮癌症例においてDKK3は癌組織に高発現し、食道扁平上皮癌の術後5年生存率はDKK3とCKAP4が両陽性の症例は、いずれも発現していない症例やいずれかのみが発現している症例に比べて有意に低いことが判明しました。ヌードマウス皮下にDKK3を発現抑制したKYSE960細胞を移植したところ、腫瘍形成能が抑制されました。DKK1を発現するがん細胞の時と同様、CKAP4 pAbがヌードマウスにおける腫瘍形成能を抑制しました。
抗CKAP4抗体がより生理環境下の癌細胞の増殖を阻害できるかを明らかにするために、KrasG12D:p53fl/flマウス由来の食道オルガノイドを作製しました。さらに、このオルガノイドに対してCreを導入し、食道がん様オルガノイド(KPCオルガノイド)を作製しました。転写因子p63は食道の基底細胞に発現し、食道上皮のホメオスタシスに関与し、食道癌において高発現することが知られていましたが、私共はp63がDKK3の発現を誘導することを見出しました。そこで、KPCオルガノイドに、p63を導入するとDKK3の発現が誘導されKPCオルガノイド増殖が促進されました。さらに、CKAP4 pAbはKPCオルガノイドの増殖を抑制しました(図4B)。
興味深いことに、DKK3は同一ヒト食道扁平上皮癌症例においてDKK1とは排他的に発現する傾向があり、CKAP4はいずれのDKKとも共に発現していました(図4C)。これらのことから抗CKAP4抗体はDKK1とDKK3によって誘導されるがん増殖シグナルを効果的に抑制できると考えています。
図4.DKK3による食道がん増殖促進作用
A. ヒト食道扁平上皮癌症例においてDKK3とCKAP4は高発現していた。
B. マウス食道がん様オルガノイド(KPCオルガノイド)の増殖を抗CKAP4抗体が抑制した。赤:サイトケラチン14、緑:E-カドヘリン、青:DNA
C. ヒト食道扁平上皮癌症例においてDKK1とDKK3は排他的に発現していた。
DKK-CKAP4シグナルを治療標的とする新規抗癌剤開発を目的として抗CKAP4モノクローナル抗体(抗CKAP4抗体)を作製しました。本抗体が、抗癌剤ゲムシタビンとの併用により、膵癌細胞株S2-CP8細胞のヌードマウスにおける皮下腫瘍形成を著明に抑制しました(図5)。
図5.S2-CP8細胞のマウス皮下腫瘍形成に対する抗CKAP4モノクローナル抗体と抗癌剤ゲムシタビンの併用投与による腫瘍形成抑制効果
ヌードマウス皮下へS2-CP8細胞を移植後、腫瘍サイズが約100mm3となってから、腹腔内に抗CKAP4抗体および抗癌剤ゲムシタビンを週に2回、3週間投与し、腫瘍重量を計測した。抗CKAP4抗体と抗癌剤の併用投与により著明な腫瘍形成抑制効果を認めた。
また、マウス膵臓に膵癌細胞株を移植(同所移植モデル)すると、膵臓に腫瘍が形成され、リンパ節転移が生じ約5週間でマウスは死亡しました。抗体の投与により膵腫瘍形成および転移が抑制され(図6A)、マウスの生存期間は延長しました(図6B)。さらに、CKAP4の機能を阻害した際の影響を明らかにするために、CKAP4のノックアウトマウスを作製しました。外見上の異常は認められず、野生型と同様に生育し、交配も可能でした。またノックアウトマウスの主要臓器に組織学的な異常は認められませんでした。このことから、CKAP4を発現する癌症例において、抗CKAP4抗体を用いて、CKAP4の機能を阻害しても副作用が少ない可能性が考えられました。
図6.S2-CP8細胞のマウス膵臓移植(同所移植)に対する抗CKAP4モノクローナル抗体の予後延長効果
ヌードマウス膵臓へS2-CP8細胞を移植し、2日後より腹腔内に抗CKAP4抗体を週に2回の頻度で投与した。抗体投与により転移を抑制し(図6A)、予後が延長した(図6B)。
癌症例ではCKAP4が発現している症例、発現していない症例が存在します。これらの症例のうち抗CKAP4抗体での治療が適応となりうるのは、CKAP4が発現している症例となります。そのため癌症例においてCKAP4が発現していることを確認する診断法(コンパニオン診断)を開発する必要があります。私共は、癌細胞で発現するCKAP4がエクソソームといわれる細胞外分泌小胞に輸送されることを見出しました。そこで、癌症例の血清でCKAP4を測定するために、抗CKAP4抗体を用いたELISAを開発しました。ヒト膵癌手術症例のうち免疫染色でCKAP4が陽性の症例は、健常人および免疫染色でCKAP4が陰性の膵癌症例に比べて血清CKAP4が高値となり(図7A)、同一症例の術前と術後で比較すると術後に血清CKAP4が低値となりました(図7B)。この結果からCKAP4陽性膵癌特異的に、血清CKAP4が高値となることが示唆されました。さらに、手術適応のある膵癌症例に比べて手術適応のない膵癌症例で、血清CKAP4がより高値となりました(図7C)。以上の結果から、抗CKAP4抗体を用いたELISAにより血清CKAP4を測定することで、手術適応のない膵癌症例の中でCKAP4が発現している症例を診断することが可能になると考えられました。
今後は、多数の症例で血清CKAP4を測定することで、CKAP4発現症例を診断するための血清CKAP4のcut off値を明らかにします。さらに膵癌以外の様々な癌種に対して抗CKAP4抗体による治療が適応となりうることを明らかにし、ヒト化抗体を作製して、新規抗癌剤の開発を目指したいと考えています。
図7.膵癌症例の血清CKAP4の測定
A. 膵癌手術症例において、免疫染色でCKAP4が陽性の症例は、健常人および免疫染色でCKAP4が陰性の症例より、血清CKAP4が高値であった。
B. 術前に血清CKAP4が高値であった症例は、術後に血清CKAP4が低下した。
C. 手術適応のない膵癌症例は、手術適応のある膵癌症例に比べて、血清CKAP4が高値であった。
肝腫瘍に対するARL4Cを標的としたアンチセンス核酸を用いた新規抗癌剤の開発
私達は大腸癌および肺腺癌において遺伝子変異に伴うWnt/β-cateninシグナルとRas/MAP kinaseシグナルの活性化により低分子量Gタンパク質低分子量G蛋白質ADP-ribosylation factor (ARF)-like 4c (ARL4C)が過剰発現することを見出しました。ヒト大腸癌および肺腺癌細胞株におけるARL4Cの発現が癌細胞の運動能と浸潤能、増殖能が重要でした。CTNNB1遺伝子(β-catenin)の変異によりWnt/β-cateninシグナルが亢進している症例が多数報告されているヒト肝細胞癌におけるARL4Cの発現について検討したところ、25.8%(128症例中33例陽性)の症例で過剰発現していました(図1A)。 肝細胞癌の術後無再発期間は、ARL4Cが陽性の症例は、陰性の症例に比して有意に短くなりました(図1B)。
図1.ヒト肝細胞癌におけるARL4Cの発現と予後との相関
A. ヒト肝細胞癌症例においてARL4Cは腫瘍細胞特異的に高発現していた。
B. ARL4Cタンパク質の発現している症例は有意に予後不良であり、ARL4Cの発現が予後判定の指標となる可能性が示唆された。
次に腫瘍細胞におけるARL4Cの発現を抑制するために、ARL4Cに対するアンチセンス核酸 (ASO)を数十種類合成しました。ARL4Cを高発現する肝細胞癌細胞株HLEを用いてARL4C ASOによるmRNAおよびタンパク質発現抑制効果を評価し、発現抑制効果の最も高い二種類のARL4C ASO(ASO-1316, ASO-3223)を選出しました (図2A)。次に、これらの二種類のARL4C ASOのHLE細胞の細胞増殖に対する影響を検討し、 ARL4C ASO-1316、ARL4C ASO-3223共にHLE細胞の増殖を抑制することを明らかにしました(図2B)。
図2.ARL4C ASOによるARL4Cの発現抑制と肝細胞癌細胞株HLEの増殖抑制
A. HLE細胞に二種類のARL4C ASOをトランスフェクションし、ARL4Cの発現をウエスタンブロットにより検出した。
B. HLE細胞に二種類のARL4C ASOをトランスフェクションし、細胞増殖をCYQUANT試薬の蛍光強度により定量した。
次にHLE同所移植肝腫瘍モデルを用いて、ARL4C ASOの生体内での抗腫瘍効果を検討しました。ARL4C ASO-1316の皮下投与により肝腫瘍の形成と腫瘍部におけるARL4Cの発現が抑制されました(図3)。一方、ARL4C ASO-3223の投与によっては肝腫瘍形成およびARL4Cの発現は抑制されませんでした。また、大腸癌細胞株HCT116を用いた脾注肝腫瘍モデルにおいても、ARL4C ASO-1316の皮下投与により肝腫瘍の形成と腫瘍部におけるARL4Cの発現が同様に抑制されました。
図3.HLE同所移植肝腫瘍モデルへのARL4C ASO-1316の皮下投与による腫瘍形成の抑制
ヌードマウス肝臓内にHLE細胞1.0×107細胞を移植し、Control ASO(n=10)、ARL4C ASO-1316(n=8)、ARL4C ASO-3223(n=7)の三群に分けた。細胞移植した当日から、Control-ASO、ARL4C ASO-1316、ARL4C ASO-3223を2.5 mg/kgで3日ごとに皮下投与で計10回投与し、4週間後に肝腫瘍形成と腫瘍内のARL4Cの発現を評価した。
以上の結果から、ARL4Cを標的としたASOが、肝腫瘍に対して抗腫瘍効果を有することがマウスモデルを用いたin vivo実験により示すことができました。今後は、ARL4Cを標的としたASOの臨床応用を目指し、抗がん剤としての新規核酸医薬品を開発したいと考えています。
ヒト肺癌における3’-非翻訳領域の低メチル化によるArl4cの高発現
Wnt/β-カテニンシグナルとEGF/Rasシグナルの異常活性化は大腸癌や肺腺癌をはじめとする各種ヒト癌の発癌および悪性化に密接に関与することが知られています。私達は最近、大腸癌や肺腺癌において低分子量G蛋白質ADP-ribosylation factor (ARF)-like 4c (Arl4c)が高発現し、ヒト大腸癌および肺腺癌細胞株におけるArl4cの発現が腫瘍形成に必要であることを見出しました。そこで、腺癌以外の癌腫におけるArl4cの発現について検討したところ、ヒト肺扁平上皮癌で80.6%(60症例中52例陽性)、ヒト舌扁平上皮癌では73.7%(42症例中57例陽性)の症例で過剰発現していました(図1)。
図1.ヒト悪性腫瘍におけるArl4c発現
肺扁平上皮癌症例ならびに舌扁平上皮癌症例においてArl4cは高頻度に腫瘍細胞特異的に高発現していた。
一方で、Arl4cは周囲の非腫瘍部の肺胞上皮組織および非腫瘍部の舌扁平上皮組織では発現を認めないことから、腫瘍細胞特異的に高発現することが明らかになりました。
癌におけるArl4cの機能を解析するため、Arl4cを高発現するヒト肺扁平上皮癌細胞株および舌扁平上皮癌細胞株において、Arl4cをCRISPR/Cas9システムを用いてノックアウトしたところ、in vitroでの癌細胞の増殖能や運動能が抑制されました(図2)。
図2.Arl4cのノックアウトによる癌細胞の増殖能・運動能抑制
二次元培養下またはコラーゲンコートしたBoyden chamberを用いて、増殖能と運動能を解析した。ヒト肺扁平上皮癌細胞株NCI-H520において、Arl4cをノックアウトすることによって、コントロールと比べ、増殖能や運動能が有意に抑制されることが示された。
また、ヒト肺扁平上皮癌細胞株NCI-H520において、Arl4cの発現はWnt/β-カテニンシグナルまたはEGF-Ras-MAPKシグナルに依存しておらず、Arl4c DNAの3’非翻訳領域が低メチル化状態となっていました。この細胞において脱メチル化酵素TET1-3をノックアウトすると、Arl4c DNAの3’非翻訳領域が高メチル化され、Arl4cの発現が低下しました。加えて、ヒト肺扁平上皮癌症例において腫瘍部は非腫瘍部と比較して、Arl4c DNAの3’非翻訳領域が低メチル化状態でした (図3)。がんゲノムアトラス(The Cancer Genome Atlas)データベースにおけるヒト肺扁平上皮癌379症例の解析を行いますと、腫瘍部においてArl4cが高発現し、Arl4c DNAの3’非翻訳領域が低メチル化状態であり、私達の結果と同様でした。
図3.DNA 3’非翻訳領域におけるメチル化によるArl4cの発現制御
A. Arl4cを高発現するNCI-H520は、Arl4cを低発現するHeLaS3と比較して3’非翻訳領域におけるDNAが低メチル化状態であった。また、ヒト肺扁平上皮癌症例において腫瘍部は非腫瘍部と比較して、Arl4c DNAの3’非翻訳領域が低メチル化状態であった。
B. NCI-H520においてTET1-3をノックアウトすると、Arl4cの発現が有意に低下した。
これらの研究は、Arl4cがヒト癌において増殖因子シグナルに加えて、DNAのメチル化により発現制御されており、また、癌の新規診断マーカーや治療の標的になる可能性を示しています。今後は、Arl4cを分子標的とするアンチセンスDNA等の核酸医薬の開発を目指したいと考えています。
ヒト大腸癌と肺癌におけるArl4の発現とArl4cを標的とする抗癌剤開発
Wnt/β-カテニンシグナルとEGF/Rasシグナルの異常活性化は大腸癌や肺腺癌をはじめとする各種ヒト癌の発癌および悪性化に密接に関与することが知られています。私達は最近、ラット正常腸管上皮細胞株(IEC6)を用いた三次元基質培養系において、Wnt/β-カテニンシグナルとEGF/Rasシグナルが同時協調的に活性化すると、標的遺伝子として低分子量G蛋白質ADP-ribosylation factor (ARF)-like 4c (Arl4c)が発現し、Arl4cが上皮細胞集団の形態変化と活発な増殖を介して管腔形態形成を誘導することを見出しました。生体内でおこる正常上皮細胞の管腔形態形成は癌細胞が運動能と増殖能を獲得して間質内に侵入していく機構と類似していると考えられます。一方、Arl4cの癌における発現および機能については全く不明です。そこで、Arl4cの発現について検討したところ、ヒト大腸癌で47%(117症例中55例陽性)、ヒト肺腺癌では78.5%(65症例中51例陽性)の症例で過剰発現していました(図1)。
図1.ヒト悪性腫瘍におけるArl4c発現
大腸癌症例ならびに肺腺癌症例においてArl4cは高頻度に腫瘍細胞特異的に高発現していた。
一方で、Arl4cは周囲の大腸正常腸管上皮組織および正常肺胞上皮組織では発現を認めないことから、腫瘍細胞特異的に高発現することが明らかになりました。
癌におけるArl4cの機能を解析するため、ヒト大腸癌および肺癌細胞株におけるArl4cの発現を検討しました。その結果、複数の大腸癌および肺癌細胞株においてWnt/β-カテニンシグナル、またはEGF-Ras-MAPKシグナルに依存してArl4cが高発現していました。そこで、Arl4cを高発現している大腸癌細胞株HCT116において、Arl4cを発現抑制したところ、in vitroでの癌細胞の運動能や浸潤能が抑制されました(図2)。
図2.Arl4cの発現抑制による癌細胞の運動能・浸潤能抑制
コラーゲンコートした(A)およびマトリゲルコートした(B) Boyden chamberを用いて運動能と浸潤能を解析した。HCT116において、Arl4cを発現抑制することによって、コントロールと比べ、運動能や浸潤能が有意に抑制されることが示された。
また、ヌードマウス皮下にHCT116を移植したマウス皮下腫瘍形成モデルを用いて、腫瘍組織へsiRNAを直接投与したところ、腫瘍容積および重量が減少しました(図3)。
図3.HCT116のマウス皮下腫瘍形成に対するin vivo siArl4cを用いた腫瘍形成抑制効果
A. ヌードマウス皮下へのHCT116移植3日後に、腫瘍組織へsiRNAを直接投与し、経時的に腫瘍容積を計測した。siArl4c投与群はコントロール群と比較して、腫瘍容積が有意に抑制された。
B. 移植13日後の摘出移植片においてsiArl4c投与群はコントロール群と比較して、腫瘍容積および重量が有意に抑制された。
これらの研究は、Arl4cがヒト癌において癌の新規診断マーカーや治療の標的になる可能性を示しています。今後は、Arl4cを分子標的とするアンチセンスDNA等の核酸医薬の開発を目指したいと考えています。
Wnt5aシグナルによる癌細胞増殖
胃癌や前立腺癌の検討から、Wnt5aの高発現は癌細胞増殖との関連は乏しいと考えられていましたが、ある種の癌細胞においてはWnt5a シグナルにより、増殖能が高まることが報告されています。そこで、Wnt5a高発現細胞である、HeLaS3 細胞(子宮頸癌細胞)やA549 細胞(肺癌細胞)に対し、in vitroでWnt5aの発現抑制を行い増殖能への影響を観察しました。その結果、これらの癌細胞株において増殖が抑制され、一方でWnt5aを過剰発現すると増殖能が亢進しました。さらに、ヌードマウス皮下にWnt5aの発現を抑制したA549細胞を移植したところ、有意にその増殖が抑制されることが確認されました(図1)。
図1.Wnt5a発現抑制による腫瘍増殖能阻害
ヌードマウスにWnt5a 発現抑制したA549細胞(shWnt5a)とコントロール細胞(shControl)を皮下移植した。その後継時的に腫瘍増殖を観察すると、Wnt5aの発現抑制により腫瘍増殖は有意に阻害された。
これまで、私達はWnt5aに中和活性を持つポリクローナル抗体の作製には成功していましたが、ポリクローナル抗体は単一個体から得られる血清に依存するため量的にも質的にも安定とは言えません。そこで、Wnt5aに対して中和活性を持つモノクローナル抗体の単離を目的に、ファージディスプレイ法を用いて抗体作製を行いました。その結果、胃癌細胞のWnt5a依存性細胞運動能を有意に抑制する抗体クローンが得られました。エピトープの同定を試みた結果、モノクローナル抗体は、ポリクローナル抗体と立体構造的に非常に近いペプチド配列を認識していました。また、ポリクローナル抗体と同様にWnt5a依存性レセプターのendocytosis を抑制することにより、癌細胞の運動・浸潤能を阻害することが判明しましたが、癌細胞の増殖を抑制することはありませんでした。そこで、私達はWnt5aシグナルによる癌細胞増殖には、レセプターの endocytosis を介さないシグナル経路で制御されているのではと推測し、Wnt5a依存性に細胞増殖能を示す癌細胞を用いて、その経路の同定を試みました。その結果、少なくともHeLaS3細胞においてWnt5aはレセプターの endocytosis を介さずにSrc
Family Kinases (SFKs) を活性化し、細胞増殖を亢進させることが判明しました(図2)。今後は、増殖活性を阻害する中和抗体の作製を試み、癌治療に役立てるようなWnt5aモノクローナル抗体の単離を目指しています。
図2.モデル図
細胞運動・浸潤はレセプターの endocytosisを介してRacを活性化し、細胞運動・浸潤を制御するが、SFKsはレセプターの endocytosisを介さずに活性化され、細胞増殖を制御する。
分子標的としてのWnt5a
上述したように、Wnt5aの過剰発現が胃癌や前立腺癌の悪性化、特に、浸潤、転移に関与することを明らかにしてきました。そこで、私達はWnt5aを分子標的としてとらえ、その高発現した浸潤・転移能の高い癌に対するWnt5a抗体療法の可能性について検討しました。まず、いくつかの合成ペプチドを用いてヒトWnt5aに対するウサギポリクローナル抗体を作製しました。そのうちの1種類の抗体はin vitroにおいてWnt5aを高発現する胃癌細胞株の細胞運動と浸潤能を有意に抑制しました(図1)。その作用機構を検討したところ、このウサギ抗Wnt5aポリクローナル抗体はWnt5aと受容体との結合は阻害しないものの、シグナルの活性化に必要なレセプターのendocytosisを抑制することにより、胃癌細胞の運動・浸潤能を阻害することが判明しました。さらに、癌転移モデルマウスを用いたin vivoの実験において、本抗体をマウスの腹腔内に投与すると、脾臓被膜下に異種移植したヒト胃癌細胞の肝転移が有意に抑制されました(図2)。これらの実験結果は、抗Wnt5a抗体がWnt5aを発現する腫瘍細胞に対して、その転移能を阻害する新たなツールとなる可能性があることを示しました。
図1.抗Wnt5aポリクローナル抗体による癌細胞の浸潤能抑制
マトリゲルコートしたinvasion chumberを用いてinvasion assayを行い浸潤能を解析。
抗Wnt5a抗体で胃癌細胞株KKLS細胞を処理することによって、コントロール抗体と比べ、細胞の浸潤能を抑制することが示された。
図2.抗Wnt5aポリクローナル抗体による癌の転移能抑制
A. ヌードマウスに抗Wnt5a抗体を腹腔内に前投与した翌日に胃癌細胞(KKLS)を脾臓被膜下に異種移植。その後、1週間に2回抗体を腹腔内投与して、5週間後に肝臓への転移を観察、評価。
B, C. 抗Wnt5a抗体を投与したマウスは、control抗体を投与した群と比較して、肝転移が有意に抑制された。
今後は、このポリクローナル抗体とエピトープが同一であるモノクローナル抗体を作製し、これが生体内で胃癌をはじめとするWnt5aを高発現する様々な癌において浸潤・転移を抑制し得るかを評価した上で、癌治療の分子標的薬となりうるかを検討したいと考えています。また、Wnt5aは悪性腫瘍のみならず感染症や関節リウマチ、炎症性疾患でその関与が示唆されており、Wnt5aがこれらの疾患の診断治療に対する新たな標的分子として期待されます。私達はWnt5aに対する抗体だけでなく、Wnt5aが過剰発現したとしても細胞外に分泌させない化合物や、細胞からWnt5aが分泌されたとしても、受容体に作用させない化合物を同定する試みも行っています(図3)。そのような化合物が見出されれば、Wnt5aの関連する疾患に対する全く新規の治療薬になると期待されます。
図3.Wnt5aシグナルを標的とした創薬
モノクローナル中和抗体、 Wnt5aと受容体間の結合を阻害する化合物、もしくはWnt5aの細胞外分泌を抑制する化合物を探索する。
ヒト癌におけるWnt5aの高発現
β-カテニン経路を構成する分子(β-カテニン, APC, Axin)の遺伝子異常が発癌のinitiation に関わることはよく知られています。最近になり、私達を含めたいくつかのグループがWnt5aとβ-カテニン非依存性経路が癌と関連することを見出しています。悪性黒色腫ではWnt5aは細胞運動や浸潤能を促進し、腫瘍の進展に関与することが報告されています。また、非小細胞肺癌ではWnt5aの過剰発現と腫瘍増殖および間質における血管新生との間に正の相関が認められています。私達は胃癌において、Wnt5aの発現と悪性化の関係について次の点を明らかにしています。胃癌においてWnt5aは約30%の症例で過剰発現しており(図1)、深達度、リンパ節転移、pTNM病期との相関が認められました。組織型では、悪性度の高いdiffuse-scattered
type(スキルス型低分化腺癌)でWnt5a陽性症例が有意に多く認められました。進行癌を対象にすると、Wnt5a陽性例の術後5年生存率は約20%で、陰性例の約50%に比べ有意に低いことがわかりました(図2)。さらに、Wnt5aが胃癌の浸潤先進部で高度に発現することが報告されているラミニンγ2の発現を誘導することが明らかになりました。前立腺癌においてもWnt5aが発現している症例は腺構造が破壊されている(高グリソン値)症例に多く認められ、術後の再発率が高いことが判明しました。したがって、Wnt5aはある種の癌において、その進行度および悪性度に関連し、その発現は癌患者の予後に影響すると考えられました。これらの結果は、Wnt5aが発現した癌細胞は浸潤・転移能を獲得するために悪性化すると考えられ、Wnt5aは癌の診断マーカーや治療の分子標的になる可能性が出てきました。私達は、現在Wnt5a抗体がWnt5a高発現した癌細胞の浸潤、転移を抑制する可能性について、癌転移モデルマウスを用いて検討を行っています。
図1.Wnt5aの過剰発現している胃癌症例(Intestinal Type)
茶褐色に染色されている細胞がWnt5a陽性癌細胞である。私達は、胃癌症例ならびに前立癌症例の約30%にWnt5aが高発現していることを見出した。
図2.進行胃癌(111例)の術後5年生存率
111例の進行胃癌症例の手術後の予後を検討した。Wnt5a陰性例は術後5年生存率が約50%であるが、Wnt5a陽性例は術後5年生存率が約20%に低下した。Wnt5aは胃癌の予後判定の指標となる可能性が示唆された。
癌細胞が分泌するWnt5b含有エクソソーム
Wnt5aファミリー分子であるWnt5bは、これまでに軟骨細胞の増殖・分化やがん細胞の増殖および浸潤・転移に関与することが報告されています。しかし、がん細胞においてWnt5bが細胞外に分泌される機構とその生理機能の関連については未だ明らかではありません。近年、Wntタンパク質がエクソソームと呼ばれる細胞外小胞と共に分泌されることが提唱されています。そこで、私共はWnt5bを高発現する膵癌由来のPANC-1細胞の培養上清を100,000 × g で超遠心することによりエクソソーム分画を回収し、ウエスタンブロット法によりWnt5bがエクソソームに含有されるかを解析しました。その結果、PANC-1細胞の培養上清に含まれるWnt5bのうち、55%がエクソソーム分画に存在することが分かりました(図1)。
図1.PANC-1細胞はWnt5b含有エクソソームを分泌する
PANC-1細胞の培養上清(CM)を100,000 × g で超遠心し、沈殿をエクソソーム分画(P100)、上清に含まれるWnt5bをBlue Sepharoseで回収したもの上清分画(Sup)とした。ウエスタンブロット法により、Wnt5bとエクソソームマーカーであるCD63, CD81, Clathrinを検出した。
次にエクソソームに含まれるWnt5bを観察するため、Wntの活性に影響しないことが報告されている部位にHAタグを挿入したHA-Wnt5bを作製しました。HA-Wnt5bを発現させたPANC-1細胞の培養上清から単離したエクソソームに対してHA抗体を用いた免疫電子顕微鏡解析を行い、エクソソームに含まれたWnt5bを観察することに成功しました(図2)。
図2.Wnt5b含有エクソソームの免疫電子顕微鏡写真
HA-Wnt5bを発現させたPANC-1細胞の培養上清から単離したエクソソームに対してHA抗体を用いた免疫電子顕微鏡解析を行った。HA-Wnt5bは25 nmの金コロイド粒子として検出された。
Wnt5b含有エクソソームの活性を明らかにするため、CHO細胞を用いたWnt5bシグナルを検出する高感度の新たなレポーターアッセイ系を樹立しました。PANC-1細胞の培養上清から単離したエクソソームを用いてレポーターアッセイを行ったところ、容量依存的に転写活性が上昇しました。一方、コントロールのCRISPR/Casシステムを用いてWNT5B遺伝子をノックアウトしたPANC-1細胞(WNT5B KO)の培養上清から単離したエクソソームでは、活性の上昇は観察されませんでした。更に、PANC-1細胞の培養上清から単離したエクソソームで肺癌由来のA549細胞を刺激したところ、細胞増殖が亢進しました(図3)。またエクソソームの刺激によりA549細胞の細胞運動能も同様に亢進しました。
図3.PANC-1細胞が分泌するWnt5b含有エクソソームはA549細胞の増殖を亢進する
PANC-1細胞の培養上清から単離したエクソソームでA549細胞を刺激したところ、EdUの取り込みが増加した。一方、WNT5B遺伝子をノックアウトしたPANC-1細胞(WNT5B KO)の培養上清から単離したエクソソームではEdUの取り込みの増加は起こらなかった。
以上のことから、ある種の癌細胞が分泌するWnt5b含有エクソソームには癌細胞の増殖及び運動能を亢進させる働きがあることが明らかとなりました。